KIEFERORTHOPÄDIE BLOG

PRAXIS DR. RICKEN in Bensheim

Menu

  • Start
  • Patienteninfo
    • Invisalign „the natural way“
    • Natürliche Zahnaufhellung
    • Wann ist eine Behandlung von Milchzähnen nötig?
    • Die Ernährungszahnbürste
    • unsichtbare hightech Zahnspangen
    • Patienten
  • Forum Eulenhof
  • Praxis Dr. Ricken
  • Datenschutz
  • Impressum

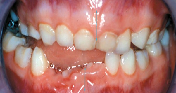
Kreuzbiß

Published 17. Mai 2016 at 602 × 319 in Kreuzbiß
© 2026  All rights reserved · Powered by WordPress · Theme by DinevThemes